지르코니아

지르코니아(Zirconia) 란 ?

지르코니아는 생체친화적이면서 자연치와 같은 투명함을 갖춘 올세라믹 (ALL Ceramic)으로 된 수복물입니다.


미적인 요구가 높아지면서 금속이 없는 올세라믹(All Ceremic) 보철물의 선호도가 증가하는 추세입니다.

따라서 지금까지 올세라믹 보철물의 주종은 임프레스나 알루미나 계열의 인세람 등이 이용되었으나
강도의 결점을 극복하지 못하여 임상적 사용이 제한되었습니다.
지르코니아는 이러한 세라믹의 강도 문제를 획기적으로 개선한 우수한 올세라믹보철물로서
최근 각광받고 있는 21세기형 보철재료입니다.
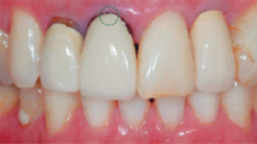
지르코니아 보철물은 인접한 자연치와 구별할 수 없을 정도의 자연스러운 치아를 얻을 수 있습니다.

지르코니아 장점

  • icon생체친화성금속이 포함되지 않아
    인체에 무해함
  • icon우수한 강도인공다이아몬드라고
    불릴만큼 단단함
  • icon탁월한 심미성변형이나 변색이 없이
    자연치와 같은 효과
  • icon낮은 열 전동성일반합금이나 금합금에 비해
    열 전도율이 낮아 시린 증상이 적음
  • icon구취감소금속이 포함되지 않아
    관리가 용이하여 구취가 적음

3박자를 모두 갖춘 지르코니아

  • 주변기계
  • 소모품
  • 기타기계


    생체친화성지르코니아(ZrO2)는 세라믹 종류 중의 하나로
    비금속 무기질 재료가 산소를 만나 딱딱해진 재료입니다.



  • iconBefore
  • iconAfter

    우수한 강도 비금속 무기질 재료인 세라믹 종류 중
    지르코니아는 가장 우수한 강도를 가지고 있습니다



  • iconBefore

    탁월한 심미성금속보철물과 지르코니아의 투명도를
    비교해 보시면 확연하게 차이가 납니다



  • icon금속보철물(PFM)
  • icon지르코니아 보철물(PFZ)
위로 스크롤